- HOME
- 医学界新聞プラス
- 医学界新聞プラス記事一覧
- 2023年
- 医学界新聞プラス [第2回]神経細胞
医学界新聞プラス
[第2回]神経細胞
『神経病理インデックス 第2版』より
新井信隆
2023.06.30
神経病理インデックス 第2版
多くの研修医が頭を悩ませる医学領域がある。それは神経病理である。1つだけでも難解なイメージのある「神経」と「病理」がドッキングしている。できれば目を合わさないようにして通り過ぎたい。だが,神経内科専門医をめざすには避けて通れぬ重要な領域なのである。さて困った……。
そんな研修医・専攻医の救世主となったのが『神経病理インデックス』である。豊富な写真や簡潔な説明で,難攻不落に見えた峻嶮も,本書にかかれば霧が晴れ,登頂ルートが浮かび上がる。多くの読者に恵まれた本書がこのたび18年ぶりの改訂を行った。前版のわかりやすさはそのままに,約300点の写真を追加,記載も最新の内容にアップデートされている。
今回「医学界新聞プラス」では,本書『神経病理インデックス 第2版』の内容から「染色法」「神経細胞」「神経突起」「頭部外傷」をピックアップして4回に分けて紹介する。
神経細胞の基本構成
形態と機能
細胞体は下記のさまざまな細胞内小器官を有し,細胞のエネルギー代謝,伝達すべき情報の生成などを担っている。
軸索は情報の発信部位であり,細胞体の辺縁部にある軸索小丘(axon hillock)といわれる部分から伸びている。その部分は細胞内小器官が少ないため,HE染色,KB染色などでは染色性に乏しく,比較的明瞭に判別できる。軸索は1つの細胞体に通常1本である。一方,樹状突起は軸索からの情報を受信する突起であり,複数ある。
軸索の遠位末端部はやや膨れて終末ボタンとも呼ばれ,受信側の神経細胞の樹状突起あるいは細胞体とシナプスを形成し,それぞれ,軸索-樹状突起シナプス,軸索-細胞体シナプスといわれ,情報を伝達する。
細胞内小器官
細胞体には,核,ゴルジ装置,ライソゾーム(lysosome),ミトコンドリア(mitochondria),リボソーム(ribosome),滑面小胞体,粗面小胞体,リポフスチン,ニューロフィラメント,微小管,微小管結合蛋白(MAP),神経メラニン〔neuromelanin(黒質,青斑核など一部の神経細胞)〕などが存在する。
一方,軸索,樹状突起には,このうちミトコンドリア,ニューロフィラメント,微小管が主に存在する。また,シナプス部では,シナプス前部,後部にシナプス小胞が存在する。
これらのうち通常の光顕染色で観察することができるものは,核,粗面小胞体の集合物,リポフスチン,束状のニューロフィラメント,神経メラニンなどである。核は核膜で縁取りされた円形物であり,核膜の内側にはクロマチン(chromatin)が好塩基性(青〜紫)の小塊として観察できる。粗面小胞体が多数集合したものは好塩基性の粗大な塊として観察することができ,ニッスル小体,虎斑(tigroid substance)ともいう。
マーカー
大脳皮質の神経細胞のマーカーにはNeuN抗体(核を染める),異なる分子量の抗体(NF-L,NF-M,NF-H),非リン酸化ニューロフィラメント抗体(SMI32)が使用される。シナプス小胞膜蛋白であるシナプトフィジンも神経細胞のマーカーとされ,灰白質における多量のシナプス終末を微細顆粒状に染色する。プルキンエ細胞や大脳皮質の抑制性介在神経細胞などは,カルシウム結合蛋白を有しており,カルビンディンD-28K,パルブアルブミン,カルレチニン(calretinin)に対する抗体で染色される。一部の神経伝達物質関連の抗体による染め分けも可能である。微小管はチュブリン(tubulin)とMAPから構成されている。神経細胞にはMAPのうちMAP1とMAP2,タウが多く存在し,とくにMAP2は樹状突起に豊富であり,樹状突起のマーカーとなる。
神経細胞の病理変化
神経細胞脱落 neuronal loss
さまざまな原因による神経細胞の脱落を総称して「神経細胞脱落」という用語をしばしば使用するが,そのメカニズムやそれに至る過程の組織変化は一様ではない。
細胞体としての形態の変化(萎縮,腫大,色調変化など)
■中心性虎斑融解(central chromatolysis)
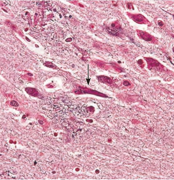
虎斑状に見えるニッスル小体(粗面小胞体)が崩壊する状態をクロマトライシス(chromatolysis),あるいは虎斑融解という。核周囲の細胞質の中心部が腫大し,崩壊したニッスル小体が周辺に押しやられる状態を中心性虎斑融解という(図1-1)。軸索障害による逆行性変性でも生じる。
■アクロマジア(achromasia)
ペラグラ,ピック病,クロイツフェルト・ヤコプ病,大脳皮質基底核変性症(CBD),進行性核上性麻痺(PSP)などの神経細胞の一部にはニッスル小体を失ったものがあり,その状態をアクロマジアという(図1-2)。このような神経細胞を風船様神経細胞(ballooned neuron)と呼ぶこともある。
■代謝疾患による異常代謝産物の蓄積による腫大性変化
さまざまな代謝疾患により異常代謝産物が細胞体に蓄積されることで腫大性変化を来たす(図1-3)。組織化学染色などを施すことにより蓄積産物の組成が推定できる。
■変性疾患による異常細胞骨格成分の蓄積による腫大性変化
アルツハイマー神経原線維変化(NFT)やレヴィ小体などが細胞質内に形成されると,細胞質全体が腫大を来たす場合がある。一方,神経細胞の風船状の変化という表現が一部の変性疾患などで用いられ,アクロマジアと同様に風船様神経細胞とも表現される。
■形成異常による細胞成分の異型
脳の形成異常のうち細胞成分に異型がみられる疾患があり,それに伴い神経細胞が大きくなる場合がある。その代表的疾患は限局性皮質異形成(FCD)であり,また,結節性硬化症(tuberous sclerosis)の皮質結節部でも異常に大きな神経細胞が観察されることがあり,neuronal cytomegaly,cytomegalic neuron,dysmorphic neuronなどという(図1-4)。国際抗てんかん連盟(ILAE)のFCDの病理診断基準(2011)では,異型神経細胞をdysmorphic neuronという用語で包括している。
■単純萎縮
加齢などに伴い神経細胞は生理的に萎縮する。古典的には単純萎縮(simple atrophy)などといわれる。
■red neuron
急激な虚血による侵襲により,細胞質全体が好酸性(赤色)になり萎縮する変化である。虚血性変化(ischemic change)あるいは低酸素性変化(hypoxic change)ともいう(図1-5)。
■dark neuron
細胞質がいろいろな染色により暗染するもので,HE染色では好塩基性を示し,樹状突起がコルクスクリュー状になることがある(図1-6)。アーチファクト(人工産物)とする考え方がある一方で,さまざまな病態で惹起される細胞死のプロセスの一局面とする実験的な知見もある。
■ミネラリゼーション(mineralization)
細胞死の結果,変性し萎縮した神経細胞自体に石灰,類石灰,鉄などが沈着する場合があり,ミネラリゼーションという(図1-7)。
細胞質内における生理・病理的構造物
■リポフスチン(lipofuscin)
神経細胞内に蓄積される消耗性色素であり,加齢,変性などで増加する。HE染色では黄色〜黄褐色,KB染色では緑色顆粒として観察される。神経核などにより溜まる程度,時期,微細形態は異なる。プルキンエ細胞,歯状核,下オリーブ核,外側膝状体などでは発達間もないころより蓄積されている(図1-8)。とくに外側膝状体は肉眼的に茶褐色調が他の灰白質より明らかに強い。
■平野小体(Hirano body)
加齢現象に随伴する構造物で,海馬錐体細胞層に好発する。別名,好酸性棍棒状構造物(eosinophilic rod-like structure)というように,HE染色で好酸性(赤色)でやや光沢のある棍棒状,楕円形の塊が神経細胞内,神経突起内,あるいは周辺に存在している像を見る(図1-9)。生理的加齢のみならず,アルツハイマー病(AD)でも多数出現する。
■顆粒空胞変性(granulovacuolar degeneration)
高齢者,ADなどの海馬錐体細胞層の神経細胞体に,HE染色ではやや好塩基性(青色)顆粒状構造物を含んだ直径2,3μm程度の小空胞が数個,集簇したものである(図1-10)。
■コロイド小体(colloid body)
神経細胞の細胞質内の好酸性で均一に染まる球状物であり,舌下神経核でしばしば観察される。硝子様封入体(hyaline inclusion)ともいわれる。一見レヴィ小体にも似ているがやや光沢があるので間違えることはない。病的な意義は不明である。
■視床封入体(thalamic inclusion)
筋強直性ジストロフィーなどの視床の神経細胞内に認めることがあるやや光沢のある棍棒状の封入体である。Thalamic neuronal inclusionともいう。病的な意義は不明である。
■アルツハイマー神経原線維変化(NFT)(図1-11〜16)
一部の認知症疾患(タウオパチー)や正常加齢の神経細胞内にリン酸化タウ蛋白の蓄積が起こり,異常線維形成として蓄積されたものである。大脳皮質における出現様式はBraakのステージングを示している。構成蛋白はリン酸化タウであり,アイソフォームは3リピートタウと4リピートタウの両方である。
嗜銀性を有し,形態の形容として火炎状(flame-shaped),渦巻き状〔グロボース型(globose-shaped)〕,あるいは細胞内,細胞外などが区別されて表現されることがある。
ややヘマトキシリン好性に染色され,比較的光沢のあるような線維の束として観察されるが,古いものは好酸性を帯び,強い嗜銀性を呈する。GB染色で黒色に明瞭に染色されるので,検出が非常に容易である。
亜急性硬化性全脳炎(SSPE),周産期脳障害の後遺症,ニーマン・ピック病C型(Niemann-Pick disease type C),福山型先天性筋ジストロフィーの年長例,慢性外傷性脳症(CTE)など,二次性タウオパチーでも出現する。
※書籍では以降に下記の項目も解説しています。
・ピック球(Pick body)
・ポリグルコサン小体(polyglucosan body)
・レヴィ小体(Lewy body)
・神経細胞内好酸性顆粒(intraneuronal eosinophilic granules)
・好塩基性封入体(basophilic inclusion)
・ブニナ小体(Bunina body)
・スケイン(skein)
・球状硝子様封入体(round hyaline inclusion)
・レヴィ小体様硝子様封入体(Lewy body-like hyaline inclusion:LBHI)
・認知症を伴うALSに出現する海馬歯状回神経細胞内ユビキチン化封入体
・多系統萎縮症(MSA)に出現する海馬歯状回神経細胞内ユビキチン化封入体
・MSAの橋核神経細胞内封入体(pontine neuronal inclusion)
・MSAのneuronal cytoplasmic inclusion(NCI)
・トリプレットリピート病のneuronal cytoplasmic inclusion(NCI)
・ネグリ小体(Negri body)
核内の生理・病理的構造物
・マリネスコ小体(Marinesco body)
・各種のウイルス封入体(intranuclear viral inclusion)
・MSAのneuronal nuclear inclusion(NNI)
・トリプレットリピート病のneuronal intranuclear inclusion(NII)など
・TDP-43プロテイノパチーのneuronal intranuclear inclusion(NII)
・神経核内封入体病(NIID)の核内封入体
関連書籍
タグキーワード
いま話題の記事
-
対談・座談会 2026.01.16
-
医学界新聞プラス
生命の始まりに挑む ――「オスの卵子」が誕生した理由
林 克彦氏に聞くインタビュー 2026.01.16
-
医学界新聞プラス
[第14回]スライド撮影やハンズオンセミナーは,著作権と肖像権の問題をクリアしていれば学術集会の会場で自由に行えますか?
研究者・医療者としてのマナーを身につけよう 知的財産Q&A連載 2026.01.23
-
医学界新聞プラス
[第4回]喉の痛みに効く(感じがしやすい)! 桔梗湯を活用した簡単漢方うがい術
<<ジェネラリストBOOKS>>『診療ハック——知って得する臨床スキル 125』より連載 2025.04.24
-
医学界新聞プラス
[第1回]予後を予測する意味ってなんだろう?
『予後予測って結局どう勉強するのが正解なんですか?』より連載 2026.01.19
最新の記事
-
2026.01.13
-
新年号特集 免疫の謎を解き明かす カラー解説
マウスとヒトの知見が交差する免疫学寄稿 2026.01.13
-
新年号特集 免疫の謎を解き明かす
ノーベル生理学・医学賞 受賞記念インタビュー
制御性T細胞が問いかける,自己と非自己の境界線対談・座談会 2026.01.13
-
新年号特集 免疫の謎を解き明かす
ヒト免疫の解明は医療に何をもたらすのか対談・座談会 2026.01.13
-
新年号特集 免疫の謎を解き明かす
臨床免疫学が迎えるパラダイムシフトインタビュー 2026.01.13
開く
医学書院IDの登録設定により、
更新通知をメールで受け取れます。
