- HOME
- 医学界新聞プラス
- 医学界新聞プラス記事一覧
- 2025年
- 医学界新聞プラス [第4回・最終回]なぜ救急外来での膵癌診断が重要なの?
医学界新聞プラス
[第4回・最終回]なぜ救急外来での膵癌診断が重要なの?
読むだけで自信がつく! 救急画像診断のスキルアップ講座
連載 放射線科医アレキ(渡邊義也)
2025.11.21
こんにちは! 放射線科医のアレキです。
連載最終回である今回は,救急外来での「膵癌見逃し防止テクニック」をご紹介できればと思います。
救急診療では,患者さんの主訴に対する診断・治療が最優先されます。一方,その過程でCT検査を実施した際,主訴とは関係のない偶発所見に遭遇することが少なくありません。
偶発所見の中で特に重要なものの一つが悪性腫瘍であり,中でもその悪性度から膵癌が非常に重要です。国立がん研究センターの報告によれば,膵癌の全病期における5年相対生存率は12.1%と予後不良です。一方で,ステージI(早期)の5年生存率は約40%とされており,早期発見が予後の改善に重要な役割を果たします。
ここからが本題です!
救急外来では肺炎の評価などで「胸部単純CT」を撮影することがありますよね。
実は胸部単純CTでも上腹部が撮影範囲に入るため,膵臓はしっかり映り込んでいます。加えて言うならば,肝臓,胆嚢,脾臓,腎臓,胃,結腸なども一緒に映ることとなります。「造影剤も使ってないし,膵臓専用の撮影タイミングじゃないし……」と思いますよね。確かに制限はあります。
しかし,それでも膵癌を見つける手がかりはあるんです!救急診療における膵癌の偶発的発見は,患者さんの予後改善の重要な機会となり得ます。
それでは,膵癌の評価を行うための基本的な検査である造影CTでの診断も含めて,膵癌の画像診断について一緒に学んでいきましょう!
造影CTでの膵癌評価をしっかり押さえよう!
膵癌の評価を行うための検査としては造影ダイナミックCTが基本となります。標準的な検査法は「単純+膵実質相+門脈相(肝実質相)+遅延相(平衡相)の膵のダイナミックCT」です。
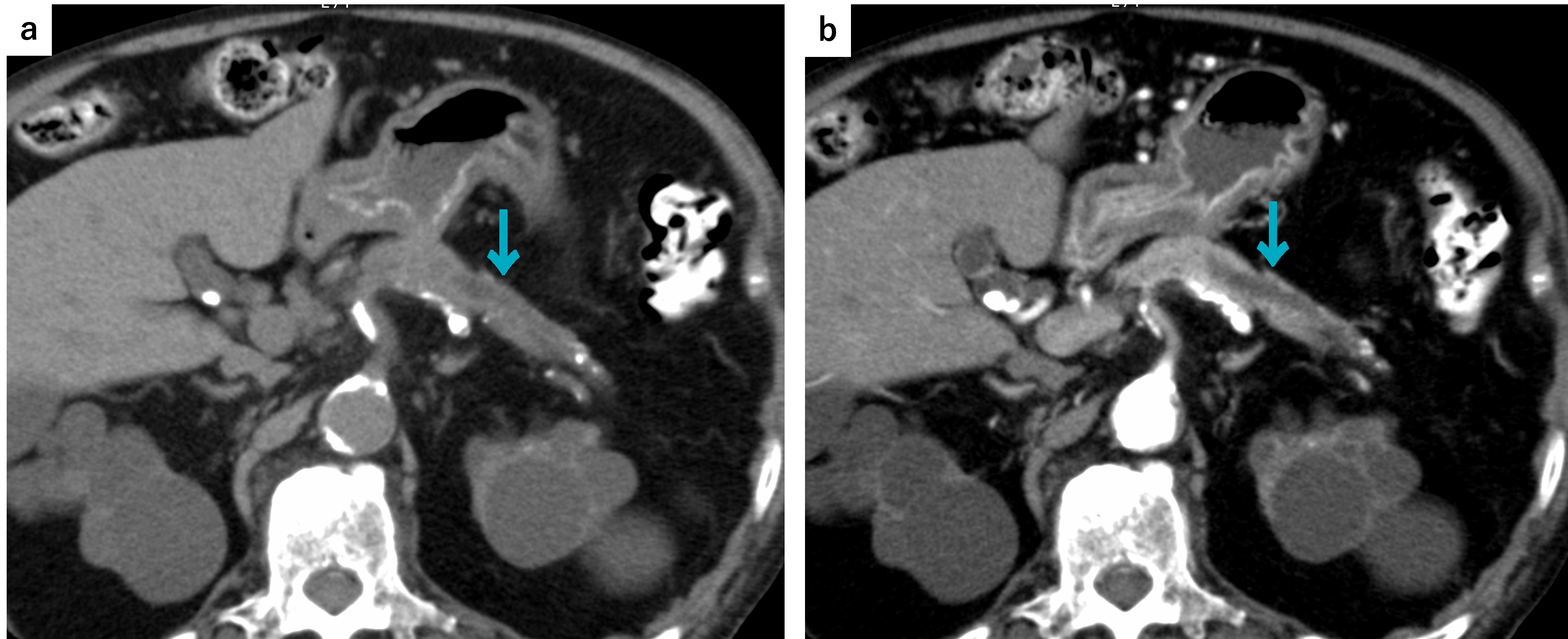
まずは何と言っても主膵管拡張を押さえましょう(図1,2)。これだけでも覚えて帰ってくださいね。膵液は膵尾部から十二指腸乳頭部の方向へ流れています。主膵管に腫瘍があると,この流れがせき止められてしまい,上流の主膵管拡張が顕在化します。この所見が超重要です!
では何ミリからが主膵管拡張なんですか?との問いが思い浮かぶかもしれませんが,大切なのは細かな数値よりも主膵管の連続性を評価することです。主膵管径が正常範囲内であっても,ある部位で主膵管の描出が途絶える所見がみられた場合は,その部位での腫瘍の存在を疑う必要があります。造影CTであれば正常膵実質と主膵管のコントラストが明瞭となり,診断が容易になります。
a:単純。単純でも主膵管拡張を認めます。b:膵実質相。膵尾部に急激に拡張する主膵管拡張を認めます。口径差のある部分に腫瘍がある可能性を示唆する所見です。
a:単純。わかりにくいですが,単純でも主膵管拡張を疑う管状構造が確認できます。b:門脈相。膵尾部に管状の低濃度域があり,主膵管拡張の所見です。この症例は膵頭部癌であり,主膵管の拡張を生じています。
次に膵実質相での膵癌...
この記事はログインすると全文を読むことができます。
医学書院IDをお持ちでない方は医学書院IDを取得(無料)ください。
いま話題の記事
-
ピットフォールにハマらないER診療の勘どころ
[第22回] 高カリウム血症を制するための4つのMission連載 2024.03.11
-
VExUS:輸液耐性が注目される今だからこそ一歩先のPOCUSを
寄稿 2025.05.13
-
医学界新聞プラス
[第1回]物としてのポスターデザイン
『医療者のポスターデザインーー美しく伝え、心に響く学会ポスターの教科書』より連載 2026.05.22
-
サルコペニアの予防・早期介入をめざして
AWGS2025が示す新基準と現場での実践アプローチ寄稿 2026.03.10
-
新年号特集 認知症と共に生きる カラー解説
認知症と社会をめぐる歴史的変遷寄稿 2024.01.01
最新の記事
-
対談・座談会 2026.05.12
-
生涯を通じて女性のQOLを維持・向上する
産婦人科4本目の柱「女性医学」対談・座談会 2026.05.12
-
Sweet Memories
揺れながら進む,あなたの一歩に意味がある寄稿 2026.05.12
-
デジタル撮像とAIが切り拓く,細胞診の新たな地平
新田 尚氏(株式会社CYBO 代表取締役社長)に聞くインタビュー 2026.05.12
-
そのとき,研修医と指導医は何を考えているのか
麻酔科における「時間の流れ」と「思考の進め方」寄稿 2026.05.12
開く
医学書院IDの登録設定により、
更新通知をメールで受け取れます。