連載
脳腫瘍
発生要因から遺伝子治療まで(10)
増加傾向にある転移性脳腫瘍の治療
渋井壮一郎(国立がんセンター中央病院・脳神経外科)はじめに
転移性脳腫瘍は着実に増加傾向にある。剖検例でも20~30%のがん患者に脳転移が発見され,その数は原発性脳腫瘍を凌駕すると言われている。肺がんおよび乳がん脳転移の登録患者数の年次推移は本シリーズ第1回でも紹介されているが,これら脳転移の増加の大きな要因として神経放射線学的診断の進歩,原発病巣に対する治療成績の向上,人口の高齢化に伴うがん患者の増加などがあげられる。
転移性脳腫瘍の診断は,脳血管撮影や脳シンチなどの時代に比べ,CTスキャンの普及によりきわめて容易で安全に行なわれるようになった。腎がん脳転移のように原発巣同様に血管の豊富な病巣である場合には,脳血管撮影にても診断可能であるが(図1),大半の転移性脳腫瘍では正常血管の圧排像のみであるため,多発性の小さな病巣の診断にはCTスキャンは欠くことのできない検査となった。
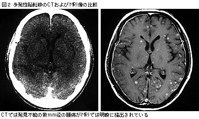
しかしながら,CTにて診断可能な病巣は直径5mm程度までであり,それ以下の病巣は見逃され,1つの病巣に対する治療が終了したころに,別の病巣が明らかになることもまれではなかった。これに対し,MRIはCTで発見不能な小さな初期病変までも発見可能である(図2)。
転移性脳腫瘍の画像としては,CT, MRIいずれでも造影剤にて増強される円形の病変として描出されることが多く,大半の病巣は周囲に広範な脳浮腫を伴う。原発臓器によっても画像上の特徴があり,肺腺がんの脳転移ではリング状の病変,扁平上皮がんでは内部に壊死に伴う不規則な低吸収域を持つ病変として描出されることが多く,腎がんでは造影剤にて一様に強く増強される円形の像として,乳がんでは頭蓋骨転移やがん性髄膜炎による脳表に沿った病変として描出されることが多い(図3)。

原発巣治療成績の向上
転移性脳腫瘍の増加のもう1つの要因として,原発病巣に対する治療の進歩があげられる。積極的な手術や効果的な化学療法の開発により,原発巣が十分にコントロールされ,生存期間が延長することにより,脳転移の出現する可能性も大きくなる。その他,高齢者人口の増加,環境や食物嗜好品の変化もがんの発生増加の一因となっていると考えられる。
脳腫瘍全国集計調査報告によれば,転移性脳腫瘍の原発巣として最も多いのが肺がんで脳転移全体の51%を占め,続いて乳がん(10.3%),胃がん(5.3%),腎がん(4.5%),直腸がん(4.4%),頭頸部がん(4.3%)などとなっている。
臨床症状
臨床症状としては,頭痛が最も多く,がん患者が持続性の頭痛(特に起床時に)を訴える場合には転移性脳腫瘍を疑いCTやMRIを施行する必要がある。病変の局在によっては片麻痺や失語症,視野障害などの巣症状を呈する。また,時に腫瘍からの出血により急性発症することもあり,血管障害との鑑別を要する。
放射線治療
転移性脳腫瘍に対してステロイド剤の投与は極めて有効である。周辺に広範な脳浮腫を伴うため,ステロイド剤の投与のみでも症状は劇的に改善することが多い。投与開始から早ければ半日程度で効果が現れ,数日~1週間で効果は最大となる。しかし,あくまで対症療法であるため,ステロイド治療のみの平均生存期間は2か月程度と言われる。
従来の治療法として最も一般的であるものは放射線治療,特に全脳照射である。診断された時点で2/3が多発性病変であり,原発巣だけでも予後が極めて不良であるこの疾患に対して,積極的な治療が行なわれることが少なく,ステロイドを使用しながら,全脳に40Gy程度の照射を行なうことが多かった。
一般に転移性脳腫瘍に対する放射線治療は有効であるが,その効果は原発病巣によって若干異なるようである。極めて放射線感受性の高い悪性リンパ腫は別として,比較的増殖速度の速い肺がん脳転移は放射線治療に対する反応がよく,乳がんがそれに続き,腎がん・消化器がんの脳転移では有効率が低い傾向がある。
また,放射線の効果は腫瘍の大きさにも左右され,小さなものほど縮小効果が高い。例えば,小細胞がん以外の肺がん脳転移の場合,直径2cm以下の腫瘍に対する放射線治療の有効率は70%,2~5cm径では55%,5cm以上では50%であった。すなわち,比較的放射線感受性の高い肺がん脳転移でも放射線のみにて治療が可能であるのは直径2~3cm以下の腫瘍であり,早期発見早期治療の重要性を示している。さらに最近では,入院期間をできる限り短縮し,家族と過ごす時間を増やすために1日3Gyで10日間,総線量30Gyの照射も行なわれている。
手術療法
転移性脳腫瘍に対する開頭手術の重要性は古くから言われていたが,1990年代に入って randomized studyの結果がいくつか報告され,その有用性が改めて確認された。すなわち,単発性脳転移病巣に対して手術および術後照射を行なった群と放射線のみにて治療を行なった群で治療後生存期間,再発率などを比較したところ,前者の生存期間中央値が40週であったのに対し,後者では15週であり,局所再発率も手術群が20%に対し,放射線群は52%で,いずれも手術群の成績が有意に良好であった(Patchell,1990)。
手術の有用性は生存期間の延長のみではなく,周囲の広範な脳浮腫を伴う腫瘍の摘出により,術後すぐに頭蓋内圧亢進が軽減され,performance statusの改善が得られる。国立がんセンター脳神経外科のデータによれば,肺がん脳転移患者の入院時の平均performance status(ECOG)は1.5であったが,術後すぐに1.2にまで回復している。放射線治療の場合は治療効果が出現するまでの数週間~数か月間は同様な症状が持続する可能性があるわけで,即効性という点でも手術療法が優れているといえる。
しかしながら,単発性転移は全体の1/3程度に過ぎず,しかも単発性であっても部位によっては手術が不能であり,多発性転移の一部が手術可能であったとしても転移性脳腫瘍の半数以上は放射線のみによる治療に頼らざるを得ない。
定位的放射線治療
放射線照射は転移性脳腫瘍に対して有効であるが,従来のような全脳照射を行なった場合,多くの例で記銘力障害,健忘などの症状が出現するため,最近では可能な限り局所照射が行なわれる傾向が出てきた。しかしながら,特に原発病巣が治癒していない転移性脳腫瘍では,1つの病巣の治療を行なった後に,新病巣が出現することもまれでない。
従来の局所照射では,近接した領域に新病巣が出現すると照射野が重複する可能性が高く,その部位での放射線壊死を来たしやすくなるため,線量および照射野の設定が容易でない場合があり,最近では,病巣だけに照射を集中する定位的放射線治療がこの疾患にも用いられている。
ガンマナイフは元来,脳動静脈奇形の治療のために開発された機器であるが,最近は良性腫瘍のみならず悪性脳腫瘍の治療へも応用されるようになった。201個のコバルト60を球面上に配列しコリメータを通して病巣に集中して照射することができる。通常,15~30Gyの1回照射を行なうため,短期間の入院ですむのも利点の1つである。
一方,リニアックによる定位的放射線治療も開発されている。これはガントリーの回転中心に腫瘍が来るように位置決めをし,一定の軌道上で振り子照射を行ない,次回の照射では,治療台を30°回転させて同様な振り子照射を行なう方法である(図4)。1軌道あたり3Gy程度の照射を行なうことにより,回転中心に線量を集中することができる。線量分布としてはガンマナイフと同様であるが,分割照射が比較的やりやすいという点で,正常脳に対する影響が少ないと考えられ,新しい放射線治療の1つとして期待されている。
おわりに
開頭手術を含む積極的な治療により,脳転移巣自体のコントロールはかなり良好になったと言える。しかしながら,肺がん脳転移を例にとった場合,脳病変に対して開頭手術を行ない得た際には,患者の70%は肺がんの再発あるいは肺がんに起因する肺炎など呼吸器疾患によって死亡すると言われており,脳病変がコントロールされても,それがそのまま生存期間の延長にはつながらない。
また,単に生存期間の延長のみが治療の最終目標ではなく,患者およびその家族が納得できる状態を作り得なければ,治療が成功したとは言えない。脳転移はあくまで全身疾患の部分像であり,患者はその家族の,そしてその社会の一員であることを念頭に入れた患者管理が必要である。