医学界新聞

MEDICAL LIBRARY 書評・新刊案内

自分の責任で手術を行なう時に役立つ書

Q&A腹腔鏡下胆嚢摘出術 こんな時どうする? 小玉正智 監修/来見良誠著

《書 評》藤川貴久(天理よろづ相談所病院腹部一般外科)

実践に即したプラクティカルな内容

 本書のページをめくってみて最初に思ったのは,「読みやすい」ということであった。本書が完成する以前に,偶然にも本書の原稿に目を通す機会を得たが,そのときに想像したイメージより,さらに親しみやすく,利用しやすいとの印象を受けた。質疑応答形式にしたことに加え,サイズがA5版とコンパクトなこと,図を豊富に用いながら1つのQ&Aを見開き2ページに収めて見やすくしていることなどが,全体としてよくみせている理由かもしれない。しかし,内容はというと,よくあるマニュアル本と違い,もっと実践に即したプラクティカルな内容を詳しく,かつていねいに述べている。随所に“キラリ”と光るちょっとした手技や道具の工夫がちりばめられている。
 本書はいわゆる手術書ではない。よって手術の手順や実際に使う道具を知らなければ本書を読んでも全然イメージがわかず,したがって面白くないかもしれない。しかし,実際に腹腔鏡下胆嚢摘出術の手術を一度でも執刀した経験のある医師には,特に後半の手技編や器械編の内容は興味深いものとなるであろう。例えば,胆嚢管のclippingを行なう時に周囲結合織などでclipをかけられる幅が狭い時などに用いているsemi-closed clipping methodはちょっとしたことであるが,なかなか有用な方法といえる。

種々の手枝を錬磨し, 独自で工夫していくための一助に

 腹腔鏡下胆嚢摘出術は1989年に最初の報告がされて以後,その簡便性,手術侵襲の少なさ,美容上の利点などから急速に普及し,現在では標準術式の1つとして定着しつつある。一方で,これまでの術式に比べて術野へのアプローチへの制限が多く,予期せぬ術中の合併症をきたすこともあり,より安全でかつ正確な手技やそれを行なうための道具の工夫をしていく必要がある。ある程度確立されつつある術式とはいえ,従来の開腹術では考えつかない工夫の余地がそこに残されているはずである。本書にもいくつかのそうした工夫があるように,さらに各々が独自の工夫をこらしていく必要がある。そうした種々の手技を錬磨し,独自で工夫していくための一助としても本書は役に立つものだと思う。
 最後に,著者の来見良誠先生が本書のまえがきで書かれているように,「自分自身の責任で手術を施行する立場に立つ機会に遭遇したとき,本書の存在意義が明らかになる」のではないかと思う。ぜひ一読をお勧めする書である。
(A5・176頁 税込定価3,914円 医学書院刊)


蓄積されたノウハウが随所にうかがえる

脊髄損傷マニュアル リハビリテーション・マネージメント(第2版)
神奈川リハビリテーション病院脊髄損傷マニュアル編集委員会 編集

《書 評》武智秀夫(吉備高原医療リハビリテーションセンター)

 神奈川リハビリテーション病院の整形外科,泌尿器科,リハビリテーション医学科,内科,外科,麻酔科の医師,脊髄損傷病棟ナース,PT,OT,MSW,リハビリテーション・エンジニアなどのスタッフで構成された委員会が編集された『脊髄損傷マニュアル』第2版が出版された。10年ぶりの改訂でその間蓄積されたノウハウが随所にうかがえる。
 本書は「合併症マネージメント」,「動作訓練」,「車いす・装具・自助具」,「社会復帰」の4つの章と,本文の所々に挿入されている14の〔Note〕から構成されている。
 まず内容を紹介してみよう。
 「第1章 合併症マネージメント」にはこの本の約半分がさかれており,呼吸,排尿,排便,自律神経,性機能の障害,痛み,痙性,関節の拘縮,異所性骨化,骨萎縮と骨折,一般皮膚合併症,末梢循環合併症,頸髄損傷者の麻痺手の機能再建手術,日常の看護手段,心理的対応,障害の評価と予後予測の19項に分けてきわめて実践的に記述してある。

脊損のマネージに必要な 戦略と戦術を明確に

 脊髄損傷をマネージするには,障害者に自己管理を教育し,それを確実に実践してもらい,病院や家族で正しいケアが提供されなければならない。そして最良の結果を得るためには科学的な見通しと当を得た技術の応用が大切である。この平和な時代に戦争の話を持ち出して顰蹙を買うかもしれないが前者は戦略(strategy)であり,後者は戦術(tactics)である。この本ではstrategyとtacticsが実に明確に記述してあり,その点深甚の敬意を表したい。
 「第2章 動作訓練」には実際的な訓練の他に車いす体育とスポーツについてもくわしく触れられている。
 「第3章 車いす・装具・自助具」では適応がよく理解できる。  また14の〔Note〕も脊髄損傷についての大切な知見が述べてあり,大層有用である。
 最後に本書に書かれたことを確実に実践するためには,それ相応の設備とシステムを備えた実践の場が必要であることを強調しておきたい。
 近年,脊椎の骨傷のある脊髄損傷によく手術が行なわれている。手術がいくらうまくいっても麻痺は回復しない。このような手術に関係する整形外科医にも本書はぜひ一読していただきたいと考えている。
 もちろんリハビリテーション従事者には自信を持って推薦したい。
(B5・228頁 税込定価5,150円 医学書院刊)


精神科デイケア実践に携わるすべての人に

精神科デイケア 村田信男,浅井邦彦 編

《書 評》蜂矢英彦 (日本精神障害者リハビリテーション学会長)

 「ビエラ方式とキャメロン方式のみでなく,わが国の諸制度と文化の中で,これらの発想をいかにとりいれ,新たな発想を生み出すかが今後わが国の精神医療の方向を決める大きな課題なのである」。これは,精神科病院入院医療中心であったわが国に,初めてデイケアを導入した先覚者加藤正明氏(元国立精神保健研究所所長)が,1977年に発刊した『精神障害者のデイ・ケア』(医学書院)の第1章に締めくくりとして書いた一文である。当時わが国のデイケアは,国立精神衛生研究所,設立まもない公設リハビリテーション医療施設,精神衛生センターのごく一部で実施されていただけで,経済性を求められる民間精神病院ではほんの数病院が採算を度外視して実施しているだけであった。
 20年後の今日では,診療報酬体系の確立も追い風となって,民間精神病院・診療所を含めて全国で500か所近くで「精神科デイケア」が実施されているだけでなく,850か所の保健所のほとんどすべてで社会復帰相談事業(保健所デイケア)が行なわれ,在宅精神障害者を対象とする小規模共同作業所はやがて1000か所に達する勢いである。このような時期に,わが国の現状を総覧し,将来を展望する『精神科デイケア』が発刊されたことの意義は極めて大きい。
 編者らが“まえがき”に「海外から導入されたデイケアが,この間にわが国の土壌にどのようになじみ修正され発展したかを考え……わが国の社会的文化的風土になじみ,それぞれの時代のニーズや社会病理にも密着した『日本的デイケア』のあり方がこれからはいっそう具体的な課題になる」と記しているように,この本は加藤氏が提起した課題への見事な回答といえるであろう。

現時点の「デイケア学」のすべて

 内容は,精神科デイケアの歴史(菱山珠夫,川関和俊)に始まり,デイケアの位置づけ(浅井邦彦)を経てデイケアの実践を紹介し,デイケアの発展,展望(村田信男)で締めくくる,という章だてをとっており,通読するだけで現時点での「デイケア学」のすべてを学ぶことができる。
 ユニークなのは第3章の「デイケアの実際」で,公設施設と民間精神病院や診療所,大学附属病院,保健所など,デイケアのほとんどでの形態を網羅しているうえに,それぞれのデイケアで都市型と地方型を取り上げるという配慮もされている。さらに,今日的なデイケアの特殊型として痴呆性老人,思春期,アルコール依存症にも頁を割いており,実践に携わる誰にも役立つ構成となっている。
 圧巻は編者らによる第2章の「精神医療・保健・福祉におけるデイケアの位置づけ」と第4章の「デイケアの発展・展望」の2編。浅井院長は,デイケアには多くの問題と制約があるにもかかわらず,入院中心の医療に対置するものとし,患者の社会生活機能の回復を図り,社会復帰を促進し,さらに入院を防ぐ手段(危機介入)として有効な戦略となり得ると,政策論から,さらにはケースマネージメントまで論じている。村田所長は,メディカルサービスからソーシャルサービスにわたるデイケアを整理したうえで,単に「精神科デイケア」だけでなく,「労働志向的な日本型デイケア」とも言うべき小規模作業所にまで目配りし,ニーズに応じて設立されている民間活動とデイケアとの共通性や異同を明確にし,「利用者個々のニーズやあり様を認めつつ,日本の社会文化的規模との折り合い点を見いだすための共同作業」を課題として提唱している。
 すでにデイケアの実践に携わっている関係者が,精神科デイケア全体を鳥瞰し,自らのデイケアの位置を確かめるためにも,これからデイケアを手がけようとする初心者にも,ぜひとも一読をすすめたい1冊である。筆者の周辺のデイケア・スタッフの間で評判になっいる読みやすさ分かりやすさも,この本の強みである。
(A5・頁240 税込定価4,944円 医学書院刊)


肝臓手術を行なう医師は手にとってほしい

COUINAUD 肝臓の外科解剖 C.Couinaud 著/二村雄次 訳

《書 評》山岡義生(京大教授・消化器外科学)  京大第2外科で生体部分肝移植の準備を始めた時,以前より漠然と知っていたつもりのCouinaudの肝臓の解剖を確実にする目的で,このオリジナルを発注したのが本書との最初の出会いであった。コピーを教室の仲間に配り,共通の知識にしようとしたのである。その時初めてこの本が自費出版であり,発注先がCouinaud先生のご自宅であることを知った。
 本書の原書に接して,その内容の豊富さに驚嘆するとともに,フランス人の思考をそのまま英語に置き換えたことによると考えられる読みにくさも,いやというほど知らされた。
 英語のほうに慣れているわれわれにとって,仏語と英語は微妙に異なった使い方がされることも,読みにくさの原因の1つであったろう。この難解な本を,われわれ日本人のために翻訳するというとんでもないことを企画され,持ち前の粘り腰で完訳された二村雄次教授に改めて深い敬意を表する。二村一門の「胆管の読み」の確かさには以前よりわれわれも啓蒙されてきたが,これもCouinaudをいかに熟読して来られてきたかということで納得できる。

外科医として肝臓をいかに 系統的にみるか

 今回の二村訳では,目次からして原著以上に読者を惹きつける工夫がされているのに気づく。筆者は,自分の必要な部分のみオリジナルを拾い読みしてきたために気づかなかったが,二村訳を読んでCouinaudが自分のデータと文献的データとを巧みに混ぜたうえ,外科医として肝臓をいかに系統的に見ようとしていたかが改めてよくわかる。二村教授の「著者の思想を日本の読者に伝える」仕事は見事に成功している。
 この本のよさは各章ごとに満載されているので,まず手にとって読んでいただきたい。肝臓の手術を実際にやっておられる人ほど,そのエッセンスが理解できると思う。
 ここで,われわれが行なっている生体肝移植の肝グラフト摘出の際に引き寄せて,本書とのかかわりについて述べてみたい。
 われわれはドナーの動脈造影,胆管造影は行なわない方針で,動脈,門脈,肝静脈については術前と術中の超音波検査,視診でほぼ自信を持って切離線が決定できたが,肝管の切離については,いつも恐る恐るやってきたのが本音である。頼りにしたのはCouinaud原著,p33,Fig28の「Variation of the portal elements occur beneath the hilar or the umbilical plate(二村訳:p31,Fig28, 門脈系血管,胆管の変異は肝門板あるいは臍静脈板下面で生じる)」の一文と図であった。常に門脈と動脈を臍静脈板で分離し,残るGlisson鞘(原著ではWalaean鞘とこだわっている)の肝側の中に左方への胆管が埋もれているはずで,鞘もろとも切離して血行の良好な胆管を提供することができた。

肝の解剖学的な認識を 共通のものに

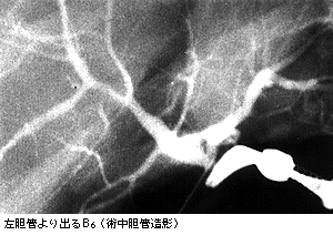
 1993年,Couinaudが私の手術を見て「左胆管からB6が出る場合があるので注意が必要だ」と忠告をくれたが,「幸い今まで出くわしていない」との話で終わり,「Fig28を頼りにしている」とつけ加えた。ところが,遂に第119例目にこれにぶつかった。通常の剥離の場所と方法では左門脈枝が露出しにくく,前方の厚いGlisson鞘が邪魔をしているので,術中胆管造影を行なってみると下の写真のような所見を得た。少し肝臓寄りの肝実質を分けることにより,容易に分離が可能となり,事なきを得た。この本のおかげである。

 最近,日本の各施設で肝臓の手術が積極的に,安全に行なわれるようになってきた。筆者はこの時機に一度,肝の解剖学的な認識を共通のものとして拡大手術をも含め標準術式をつくる必要があると考えている。そのような試みに恰好の本として本書を推薦する。
 今なお現役として研究を続けておられるCouinaud先生の熱意を吸収して,日本により多くの肝臓外科医が成長することを期待するものである。
(B5・200頁 税込定価7,828円 医学書院刊)